専門のスタッフが最新の検査機器を駆使して、小さな病変も見逃さない画質を提供し、地域で暮らす皆さまの健康のため疾患の早期発見につなげます。
健康保険証をお持ちではない場合には、自費検査の通常料金から別途追加費用が発生しますのでご了承下さい。
健診メニュー
自費検査の価格については適宜改定の可能性がありますので、ご了承ください。(2022.6月)
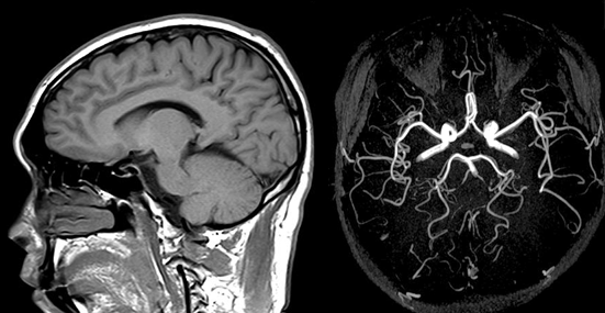
脳ドック
脳ドック(脳MRI+MRA)
脳ドックは脳卒中・脳腫瘍などを無症状の早期のうちから発見し、予防に繋がる検査です。症状のない軽微な脳梗塞(無症候性脳梗塞)もリスク評価に重要です。MRA(血管撮影)により動脈瘤や血管狭窄・動脈硬化のチェックもできます。40歳以上で脳卒中の家族歴のある方や生活習慣病リスクのある方、喫煙歴や大酒家の方にお勧めしています。

| 検査時間 | 価格 |
|---|---|
| 約15分 | ¥24,200 |
脳・頸動脈MRIドック(脳MRI+MRA+頸動脈MRA)
脳ドックによる脳卒中や脳腫瘍の検索に加えて、頸部MRA(血管撮影)で狭くなった頸動脈や瘤をチェックできます。生活習慣病リスクのある方にお勧めしています。
| 検査時間 | 価格 |
|---|---|
| 約30分 | ¥29,700 |
脳・頸動脈超音波ドック(脳MRI+MRA+頸動脈超音波)
脳ドックによる脳卒中や脳腫瘍の検索に加えて、頸部の動脈硬化や狭窄、プラーク(血栓)などを詳細にチェックできます。生活習慣病リスクのある方にお勧めしています。
| 検査時間 | 価格 |
|---|---|
| 約40分 | ¥29,700 (現在は月2-3回土曜午後のみ) |
認知症ドック(脳MRI+MRA+VSRAD脳萎縮解析)
脳ドックは脳卒中・脳腫瘍などを無症状の早期のうちから発見し、予防に繋がる検査です。症状のない軽微な脳梗塞(無症候性脳梗塞)やMRA(血管撮影)による脳動脈瘤や血管狭窄・動脈硬化もチェックします。認知症ドックでは、アルツハイマー型認知症に特徴的な脳の萎縮の程度を調べるVSRAD解析を行います。とくに認知症が心配な方にお勧めしています。
| 検査時間 | 価格 |
|---|---|
| 約20分 | ¥29,700 |
脳年齢AI解析ドック(脳MRI+MRA+VSRAD+Mvision health)
VSRAD解析に加えMvision healthという最新AI技術を用いた、より詳細な認知症ドックです。認知症に広くみられる脳萎縮タイプや血管病変の程度を解析して分かりやすく数値化してお届けします。
Mvision health(脳健康状態解析): 米国ジョンズ・ホプキンス大学放射線科教授の森進が開発したMRI画像数値化AI技術を活用し、ビックデータを用いて同年代と比較した脳萎縮具合や脳年齢などを測定し「脳健康状態レポート」を作成します。現在一般的に活用されているVSRAD解析(脳萎縮解析)に加えて、より詳細に脳の状態を可視化します。定期的な撮影により経過をグラフ化して把握することができます。(追加オプション¥10,000)
| 検査時間 | 価格 |
|---|---|
| 約20分 | ¥39,700 |
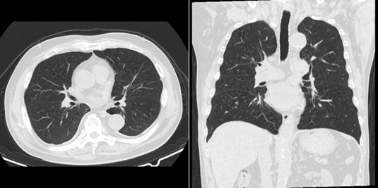
肺ドック
肺低線量CT
レントゲン同等の低線量で肺内チェックできます。男性死亡率第1位、女性第2位の肺がんはレントゲンだけでは見落としを逃れることができません。50歳以上の方や喫煙歴の長い方、粉塵業務に従事されている方、家族歴のある方によりお勧めします。肺がん以外にも、結核や肺炎、肺気腫、気胸、胸部大動脈瘤などの病気を見つけることに優れています。
| 検査時間 | 価格 |
|---|---|
| 約5分 | ¥11,000 |
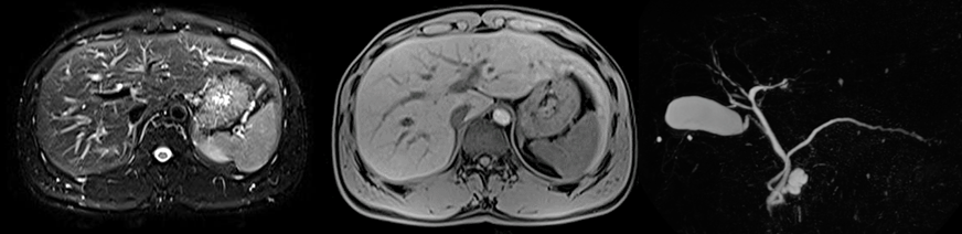
肝・胆・膵ドック
上腹部MRI+MRCP(造影なし)
肝臓、膵臓(膵管)、胆嚢(胆管)など上腹部臓器の結石や嚢胞性病変、がんの検出などに優れています。内視鏡と比較して負担や苦痛、合併症の少ない検査です。家族歴のある方や飲酒の多い方、肝機能異常の指摘がある方などにお勧めしています。ドックでは原則造影剤を使用しないで撮影しますが、より鮮明な画像撮影をご希望される方は追加料金2,200円で経口造影剤(ボースデル)を使用して撮影することも可能です。
| 検査時間 | 価格 |
|---|---|
| 約20分 | ¥26,400 |
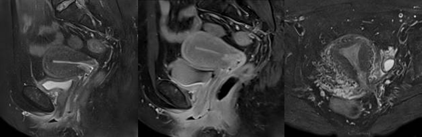
レディースドック
骨盤(子宮・卵巣)MRI
骨盤腔内の婦人科疾患(子宮がん、子宮内膜症、子宮筋腫、卵巣腫瘍etc)など女性特有の臓器の異常を放射線を使わずに検出します。女性の体が発する特有な症状(強い月経痛や月経過多、持続する下腹部の違和感、不正出血etc)など、婦人科トラブルのある方にお勧めしています。特に気になる症状がなくても、定期的な検診で病気を早期発見することも大切です。必要に応じて近隣の専門医にご紹介もできます。
| 検査時間 | 価格 |
|---|---|
| 約20分 | ¥26,400 |
メンズドック
前立腺(+精巣)MRI
立腺や精巣に発生する病気(前立腺がん、前立腺肥大症、前立腺炎、精巣腫瘍など)を、放射線を使わずにMRIで可視化・検出する検査です。特に前立腺がんは自覚症状に乏しく、気がついた時には進行していることも少なくありません。精巣腫瘍は若い世代にも発生しうるため、幅広い年代で注意が必要です。排尿トラブル(頻尿・残尿感・夜間尿など)や、会陰部の違和感のある方、50歳以上の方にお勧めします。定期的な検診で病気を早期発見することも大切です。必要に応じて当院の泌尿器科専門医の診察も受けられます。
| 検査時間 | 価格 |
|---|---|
| 約20分 | ¥26,400 |
全身ドック
全身ドック(脳MRI+MRA+躯幹部CT)
脳ドックによる脳卒中や脳腫瘍、脳血管異常の検索に加え、胸部~骨盤部まで広範囲なCT検査により全身病変を検出します。ある程度のサイズに成長したがん、結石、炎症、リンパ節腫大、動脈硬化などの検出が可能で、小さい早期がんの発見には向いていません。MRIと異なり短時間のうちに、部位を絞らず全身のチェックできるのが大きな特徴です。どこを調べたら良いか分からないが、全身の検査をしてみたい方にオススメです。
| 検査時間 | 価格 |
|---|---|
| 約20分 | ¥50,600 |
MRI全身がんドック(脳MRI+MRA+躯幹部DWI)
DWIBS法はMRI装置を使ってがんやがんの転移を調べる撮像方法で、PETやPET-CTに代わる新たな全身がん検査です。PET-CTと比較して放射線による被曝がなく、造影剤使用や前処置、食事制限も不要で、1時間以内に撮影終わることがこの検査の特徴です。その上でがんに対する「診断能力に大きな差異はない可能性が高い」とする報告があり、大変注目されています。ただし胃や大腸、肺などの動く臓器は不得意なことに注意し、肺CTや内視鏡検査と組み合わせることでより精度の高いがん検診となります。
| 検査時間 | 価格 |
|---|---|
| 約60分 | ¥ 110,000 |
超音波ドック
現在は月2-3回土曜日午後のみ。
乳房ドック
超音波検査のため被曝がなく、妊娠中を含めて全年齢で検査を行右ことができます。小さなしこりから質的な判断(硬さや血流の有無など)に優れていますので、がんを含めた乳房のチェックをご希望の方にお勧めしています。マンモグラフィーと異なり、乳房を強く圧迫しないため痛みがないのも特徴です。検査は土曜日午後のみ。女性技師対応日がありますのでご安心下さい。
| 検査時間 | 価格 |
|---|---|
| 約20分 | ¥6,800 |
腹部ドック
腹腔内臓器(肝臓・胆のう・膵臓・脾臓、腹部大動脈・膀胱・前立腺など)を幅広く調べます。エラストグラフィのオプションでは、肝臓の繊維化(肝臓が硬くなり癌のリスクが増加)をチェックすることができます。
| 検査時間 | 価格 |
|---|---|
| 約20分 | ¥8,600 エラストグラフィー付 ¥10,600 |
心臓ドック
心疾患はがんに次いで死亡率の高い病気です。超音波検査は心臓のカタチ(形態的)の異常や、動き(機能的)の異常を検出するのに優れています。心疾患の家族歴のある方や生活習慣病リスクのある方にお勧めしています。
| 検査時間 | 価格 |
|---|---|
| 約20分 | ¥12,100 |
頸動脈ドック
脳梗塞や心筋梗塞のリスク評価のため、頸部の動脈硬化や狭窄、プラーク(血栓)などを詳細にチェックできます。生活習慣病リスクのある方にお勧めしています。
| 検査時間 | 価格 |
|---|---|
| 約20分 | ¥8,800 |
下肢血管ドック(下肢動脈)
閉塞性動脈硬化症など足の血管の動脈硬化の進行度をチェックすることができます。生活習慣病リスクのある方、歩くと足が痛くなる、むくみや熱感などの症状がある方にお勧めしています。
※ドックでは下肢動脈のみを行っております。
| 検査時間 | 価格 |
|---|---|
| 約20分 | ¥7,800 |
心臓+血管ドック(頸動脈・下肢血管)
心臓、頸動脈、下肢血管を調べることで、脳梗塞や心筋梗塞のリスクや動脈硬化の進行度を全身的に評価することができます。心疾患・脳梗塞の家族歴のある方や、生活習慣病リスクのある方にお勧めしています。
| 検査時間 | 価格 |
|---|---|
| 約40分 | ¥24,100 |
検査の流れ
予約
原則予約制となっておりますので、下記のいずれかの方法でご予約下さい。
①患者様ご自身での電話予約
②患者様ご自身でのオンライン予約
来院
- 余裕を持って検査に臨むために検査予約時刻の15分前にはお越しください。
- 遅れる場合には事前にご連絡をお願いします。
- 保険証の持参をお忘れないようご注意ください。
- 腹部の検査を受けられる方は、検査6時間前から水やお茶以外の飲食を控えていただくようお願いします。
- 過去に受けられた人間ドック結果、画像検査レポートなどがあればご持参お願いします。
検査
- 問診票および検査前のチェック事項を確認させていただきます。
- 内容によって検査着に着替え、検査を開始します。
- 検査中は大きな音(MRI)や息止めの指示などがありますが、適宜技師より声かけがあり、呼び出しブザーもお渡ししますのでご安心ください。
- 検査に不安がある場合には、事前に医師や技師にお気軽にご相談ください。
会計
- 検査結果(CD-ROM+検査レポート)は撮影後10〜14日前後で指定住所に発送します。
- お急ぎの方はご相談ください。
- 結果についてのご相談は、連携施設「ロコクリニック中目黒」までお気軽にご連絡下さい。
